Uterine Fibroid Embolization (UFE)
With modern medication and care
Conditions like fibroid tumors have become more treatable and easier to manage. Uterine Fibroid Embolization (UFE), for instance, is a fairly straightforward procedure used in the treatment of fibroid tumors in the uterus.
Sometimes referred to as uterine artery embolization (UAE), the uterine fibroid embolization (UFE) procedure helps countless women plagued by fibroid tumors.
What does the uterine fibroid embolization treatment entail, and how can you prepare for the procedure? Here’s everything you need to know about uterine fibroids treatment.
What is Uterine Fibroid Embolization (UFE)?
Uterine fibroid embolization (UFE) is a minimally invasive procedure used in the treatment of uterine fibroids. Sometimes referred to as uterine artery embolization (UAE), UFE helps countless women suffering from fibroid tumors. While UFE is a cutting-edge, effective treatment for uterine fibroids, it is often not recommended to patients who wish to have children in the future. Rather, it is a great and often sought out alternative for those considering hysterectomy.
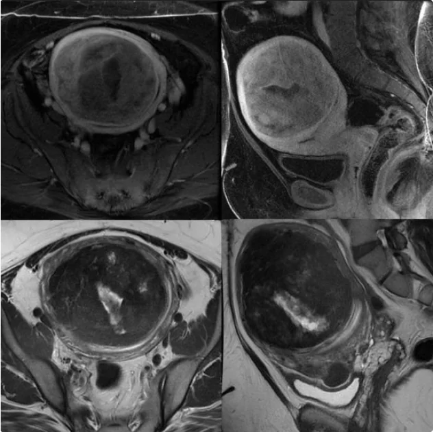
In diagnosing and preparing for uterine fibroid treatment, healthcare professionals conduct a thorough evaluation including the use of ultrasound or MRI equipment. They may require other tests, such as a laparoscopy or biopsy, especially if unusual bleeding is present. In preparing for UFE, it’s important to inform your doctor about any medication you take, allergies you have, recent illnesses you’ve experienced, or suspected pregnancies.
UFE is performed by inserting a small catheter into the femoral artery, usually through a tiny incision in the groin. Guided by real-time imaging, the catheter is carefully navigated to the uterine arteries that supply blood to the fibroids.
Tiny particles are then injected through the catheter to block these blood vessels, cutting off the blood flow to the fibroids and causing them to shrink. This procedure is minimally invasive and typically requires only a short recovery period, offering a safe and effective alternative to surgical options for treating fibroids.
The UFE procedure typically takes between one and three hours to complete, after which patients
usually require about six hours of bed rest. Patients may experience mild discomfort as the embolization takes full effect. The fibroid tumors breaking down and exiting the body may cause light bleeding for the few weeks after the procedure.
Most patients can expect to return to normal activities within seven to 10 days. Our physicians will most likely recommend a follow-up appointment between one and three weeks after the procedure, and an ultrasound or MRI between three and six months later, to monitor your progress.
A good candidate for uterine fibroid embolization (UFE) is typically a woman who experiences significant symptoms from fibroids, such as heavy menstrual bleeding or pelvic pain, and seeks a minimally invasive
Â
treatment option. However, UFE is not recommended for women who wish to have children in the
future, as it can impact fertility. It’s important to discuss all available treatment options with your doctor to determine the best approach for you.
If you do not wish to have more children, UFE may be good for you if you experience:
- Malignant gynecological
- Hemorrhage after
- General or specific
Uterine Fibroid Embolization (UFE) vs. Hysterectomy
UFE offers a minimally invasive solution for treating uterine fibroids, serving as a valuable alternative to full hysterectomy. This technique allows patients to return home the same day with a recovery time generally within two weeks, a significant improvement over the six week recovery period after a hysterectomy. UFE also involves the use of a small catheter, preserving the uterus without leaving any scars. As opposed to the general anesthesia required for a hysterectomy, conscious sedation is used in UFE.
Ultimately, UFE provides women with a less daunting alternative to treating uterine fibroids, reducing the risk of cancer, while eliminating invasive surgical techniques.
Uterine Fibroid Embolization Near Me in Irvine, CA
We understand the negative impact uterine fibroids can have on our patients’ lives. For that reason, we offer comprehensive treatment with minimally invasive uterine fibroid embolization. Contact the physicians at Pedes Orange County in Irvine, CA, at (949) 387-4724 to schedule your appointment today. You may also contact us online at your convenience to get your questions answered by our dedicated team members. We look forward to helping you live a pain-free life.
Contact Us Today
Our Vascular Disease Physicians
The physicians at Pedes Orange County devote their lives to saving limbs and minimizing pain. Our conveniently located, state-of-the-art facility is designed for your comfort and utilizes cutting-edge technology to provide minimally invasive treatments. Our vascular specialists are board-certified and some of the best in Southern California. Personable staff members make every visit a positive experience, with short wait times and an efficient, streamlined process that ensures you leave feeling educated and confident that you are in good hands.
J. Joseph Hewett, M.D.
Vascular Specialist
Neil K. Goldstein, M.D.
Vascular Specialist
Derrick Tran, MD
Vascular Specialist
Mohammad Jaber, M.D.
Vascular Specialist
Why Choose Pedes Orange County?
As formerly mentioned, the uterine embolization procedure is relatively simple and generally minimally invasive. At the same time, for the procedure to turn out a success, the healthcare professional must follow the precise route.
At Pedes Orange County, we offer both uterine artery embolization (UAE) and uterine fibroid embolization (UFE) procedures. A team of experts will help you through the process before, during, and after the procedure. Get the best treatment and care to help you recover quicker and heal more naturally. Visit our website or call us at (949) 207-3987 for more information on our physical clinic and the services offered.
What to Expect from Your Visit to Pedes
Ultrasound
Advanced ultrasound-guided examination techniques will be used to visualize the veins, arteries, or both, in your legs. This is often used in the diagnostic process to detect the presence and extent of disease.
Consult
Once we review the results of your diagnostic tests, our physicians will collaborate with you to develop a personalized treatment plan, ensuring the best course of treatment for your specific condition.
Treatment
Your treatment plan will be personalized to you and your individual needs. At Pedes, we specialize in minimally invasive procedures and nonsurgical treatments, all of which are performed by our dedicated vascular physicians within the comfort of our state-of-the-art facility.
Follow up
We ensure our patients receive continuous care and support with regular follow-up visits. Each follow-up visit is scheduled at the time of your in-office appointment. Should you have a concern between
appointments, we encourage you to call our office and get scheduled at any time.
Vascular Disease
Pre-register for your visit to Pedes Orange County by downloading our patient forms.


