Uterine Fibroids
Millions of women around the world
Are affected by the development of uterine fibroids each year. While it is not a life-threatening condition in itself, the symptoms and potential complications that come with it make it such a pressing medical concern for affected individuals.
As only women will usually possess a uterus, it follows that only women are afflicted by this ailment, which is why gynecologists will often be the first ones to make a definite diagnosis. As with so many medical emergencies, knowing the problem early will greatly increase the chances of beating it, which is why the professionals at Pedes Orange County are dedicated to administering reliable, accurate, and entirely effective diagnostics, therapies, and treatments to all clients coming through our doors.
Let’s take a closer look at what exactly we will be dealing with should uterine fibroids turn out to be the issue at hand.
What are Uterine Fibroids?
Uterine fibroids, also known as uterine leiomyomas, are non-cancerous growths that develop in or on a woman’s uterus. These fibroids can vary widely in size, from as small as a seed to as large as a grapefruit. While fibroids are not life-threatening, they can cause symptoms and complications that significantly affect a woman’s comfort, fertility, and overall quality of life.
Uterine fibroids are extremely common. Studies show that up to 70–80% of women will develop fibroids during their reproductive years. Because symptoms can be subtle or absent, many women are unaware they have fibroids until they begin causing problems.
Understanding uterine fibroids and recognizing symptoms early can help women seek timely care and explore effective treatment options.
Symptoms of Uterine Fibroids
Many women with fibroids experience no noticeable symptoms, especially when fibroids are small. However, when symptoms do occur, they may include:
- Heavy menstrual bleeding, sometimes leading to anemia
- Painful menstrual cycles
- Pelvic pain or pressure
- Lower back pain
- Frequent urination or difficulty emptying the bladder
- Pain during intercourse
- Abdominal enlargement or bloating
- Increased risk of pregnancy complications
- Infertility, in more severe cases
Because these symptoms can overlap with other conditions, a proper medical evaluation is important for accurate diagnosis and treatment planning.
Causes of Uterine Fibroids
The exact cause of uterine fibroids is not fully understood, but research suggests they are influenced by a combination of genetic and hormonal factors.
Genetics: About half of fibroid cases involve genetic changes that affect normal uterine muscle cells.
Hormones: Estrogen and progesterone play a key role in fibroid growth. Fibroids often grow during pregnancy, when hormone levels are high, and tend to shrink after menopause or with hormone-suppressing medications.
Understanding these influences helps guide treatment decisions and expectations.
Uterine Fibroid Risk Factors
Research indicates that women of African American ethnicity are at a significantly higher risk of developing uterine fibroids than Caucasian women.
Uterine fibroids are mostly found in women in their mid-late forties or early fifties, where the majority enter or pass through their menopausal years.
Those with a history of uterine fibroids in their family will be more likely to develop the condition.
It is believed that consuming large amounts of red meat (beef, ham, etc.) can increase the risks of developing uterine fibroids. Eating plenty of green vegetables, on the other hand, is thought to reduce these odds.
It is believed that overweight patients are two to three times more likely to be affected than the average population.
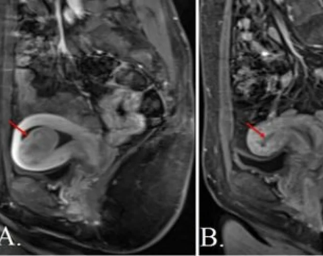
Diagnosing Uterine Fibroids
Uterine fibroids are often discovered during a routine pelvic exam, especially when symptoms are mild or absent. If fibroids are suspected, additional imaging tests may be used to confirm the diagnosis and evaluate size, location, and number.
Common diagnostic tools include:
- Ultrasound – the most commonly used initial imaging test
- Magnetic Resonance Imaging (MRI) – provides detailed images to assist with treatment planning
Accurate diagnosis is essential for determining the most appropriate treatment approach.
Uterine Fibroid Treatment Options
Because every woman’s experience with fibroids is unique, treatment options vary based on symptoms, fibroid size and location, age, and personal health goals.
Traditional treatment options may include:
Monitoring without intervention (for mild or no symptoms)
Hormonal therapy to manage symptoms
Surgical removal of fibroids (myomectomy)
Removal of the uterus (hysterectomy)
While surgery may be appropriate in some cases, many women prefer to explore less invasive alternatives.
Uterine Fibroid Embolization (UFE): A Minimally Invasive Option
At Pedes Orange County, we offer Uterine Fibroid Embolization (UFE), also known as Uterine Artery Embolization (UAE), a minimally invasive alternative to surgery for treating symptomatic fibroids.
UFE works by blocking the small blood vessels that supply fibroids, causing them to shrink over time. The procedure is performed using a tiny catheter inserted through the wrist or groin, without large incisions or visible scarring.
Benefits of UFE include:
Preservation of the uterus
No major surgery or hospital stay
Shorter recovery time compared to hysterectomy
Effective relief from heavy bleeding, pain, and pressure
Reduced physical and emotional impact compared to surgical options
Many patients find UFE to be a more comfortable and empowering option for managing fibroid symptoms.
Uterine Fibroid Specialist in Irvine, CA
If you’re experiencing discomfort from your uterine fibroids, don’t hesitate to reach out to our vascular specialists today. Call Pedes Orange County in Irvine, CA, (949) 387-4724 to make an appointment with one of our skilled physicians or contact our friendly staff online at your convenience for more information about our specialized uterine fibroid treatments. We look forward to helping you enhance your quality of life.
Why Uterine Artery Embolization (UFE) Instead of a Hysterectomy
Benefits of UFE Over Hysterectomy
Uterine artery embolization (UFE ) is a minimally invasive procedure that effectively treats uterine fibroids and is considered an alternative to uterine fibroid surgery removal. Uterine artery embolization (UFE) is typically performed as an outpatient procedure, which means that most women go home the same day for recovery.
UFE has several benefits over hysterectomy. Besides involving only a small nick in the groin or wrist for catheter insertion, the uterus is preserved. There is no scar with UFE. For a UFE, conscious sedation is used, unlike a hysterectomy, where the woman receives general anesthesia. The recovery time for UFE is generally within 2 weeks, which is significantly faster than the usual 6-week recovery time after hysterectomy.
Women who have a hysterectomy that removed both the uterus and ovaries usually get estrogen replacement therapy (ERT) alone. But women who have only the ovaries removed need both estrogen and progestin because estrogen alone can increase the risk of cancer in the uterus.
The recovery time for UFE is generally within 2 weeks, which is significantly faster than the usual 6-week recovery time after hysterectomy.
The idea of having your entire uterus removed is psychologically daunting for women as some women may still want the option to carry a child, do not want to undergo a general surgery, and/or feel like removing the uterus takes away part of their identity as a female.
Treatments for Uterine Fibroids
With modern medication and care, conditions like fibroid tumors have become more treatable and easier to manage. Uterine fibroid embolization, for instance, is a fairly straightforward procedure used in…
Contact Us Today
Our Vascular Disease Physicians
The physicians at Pedes Orange County devote their lives to saving limbs and minimizing pain. Our conveniently located, state-of-the-art facility is designed for your comfort and utilizes cutting-edge technology to provide minimally invasive treatments. Our vascular specialists are board-certified and some of the best in Southern California. Personable staff members make every visit a positive experience, with short wait times and an efficient, streamlined process that ensures you leave feeling educated and confident that you are in good hands.
J. Joseph Hewett, M.D.
Vascular Specialist
Neil K. Goldstein, M.D.
Vascular Specialist
Derrick Tran, MD
Vascular Specialist
Mohammad Jaber, M.D.
Vascular Specialist
Why Come to Pedes Orange County
The development of uterine fibroids is one of the most widespread issues affecting women’s reproductive health worldwide, and such an extensive and sensitive problem calls for attentive, expert, and experienced care. The staff at Pedes Orange County has a wealth of experience and specialized training in dealing with the diagnosis, treatment, and overall care of uterine fibroid patients. Get in touch with us today and schedule a screening appointment for a comprehensive healthcare experience.
What to Expect from Your Visit to Pedes
Ultrasound
Advanced ultrasound-guided examination techniques will be used to visualize the veins, arteries, or both, in your legs. This is often used in the diagnostic process to detect the presence and extent of disease.
Consult
Once we review the results of your diagnostic tests, our physicians will collaborate with you to develop a personalized treatment plan, ensuring the best course of treatment for your specific condition.
Treatment
Your treatment plan will be personalized to you and your individual needs. At Pedes, we specialize in minimally invasive procedures and nonsurgical treatments, all of which are performed by our dedicated vascular physicians within the comfort of our state-of-the-art facility.
Follow up
We ensure our patients receive continuous care and support with regular follow-up visits. Each follow-up visit is scheduled at the time of your in-office appointment. Should you have a concern between appointments, we encourage you to call our office and get scheduled at any time.
Vascular Disease
Pre-register for your visit to Pedes Orange County by downloading our patient forms.


